Global coronavirus death toll exceeds 100,000: Live updates

UK and French death tolls jump by 980 and 987, respectively, as Italy extends weeks-long lockdown until May 3.

Save

The worldwide death toll from the new coronavirus has surpassed 101,000 amid about 1.6 million cases and more than 372,000 recoveries, according to the Johns Hopkins University tally.

Italy has registered the highest number of COVID-19 deaths, more than 18,800 as of Friday, while the United States has reported the majority of confirmed infections, nearly half a million.

Recommended Stories

list of 4 itemsend of list

However, the number of newly hospitalised patients in the hardest-hit state of New York has dropped to a one percent increase.

Here are the latest updates:

Friday, April 10

23:08 GMT – Buyers jam stores in Turkey after curfew announcement

People rushed into the streets in parts of Turkey, forming long lines outside grocery stores minutes after the government announced a two-day curfew in 31 cities to help curb the spread of the coronavirus, the Associated Press news agency reported.

Just hours before the curfew came into effect, people were seen queuing outside stores in panic, many ignoring social distancing rules, the private DHA news agency reported.

Fighting erupted in at least one district in Istanbul, the Halk TV television station reported.

22:50 GMT – IMF to lend Albania $190.5m

The International Monetary Fund says it is helping Albania with $190.5 million to cope with the impact of the coronavirus pandemic.

A statement on Friday said the money would address its urgent balance of payments resulting from the ongoing global outbreak of the COVID-19 causing “significant losses and disruptions to Albania’s economy.”

20:46 GMT – Uruguay to repatriate Australians, New Zealanders from cruise ship

Uruguay on Saturday will repatriate 112 Australians and New Zealanders from a cruise ship that has been stranded in the La Plata River near capital Montevideo since March 27, the government of the small South American country said.

Advertisement

The operation is to begin Friday evening when the ship is scheduled to dock in the Port of Montevideo. The Greg Mortimer is an Antarctic cruise ship operated by Aurora Expeditions.

The passengers, most of whom have tested positive for the coronavirus, are to be bussed to a special airport terminal with strict health controls. They are scheduled to board a Melbourne-bound charter flight in the early morning hours of Saturday.

Yemen confirms first coronavirus case, braces for outbreak (02:23)

20:16 GMT – Coronavirus death toll passes 1,000 in Brazil

Brazil, the hardest-hit Latin American country in the coronavirus pandemic, passed the mark of 1,000 deaths, the health ministry said.     

The ministry’s latest figures gave a toll of 19,638 confirmed COVID-19 cases, with 1,056 deaths.

19:10 GMT – Senegal bans layoffs during coronavirus crisis     

Senegal’s government said in a statement that companies will be forbidden to sack employees during the pandemic, except in cases of gross negligence, starting from April 14.

Firms will also have to choose options such as reducing working hours or opting for shift work instead of temporarily suspending employees.

Spread of coronavirus disease (COVID-19) in Istanbul
A municipality worker in a protective suit feeds street cats in Istanbul, Turkey [Umit Bektas/Reuters]

19:05 GMT – Turkey orders 48-hour curfew in 31 cities

Turkey’s interior ministry said it imposed a two-day lockdown in 31 cities, including Istanbul and Ankara, starting at midnight.

18:58 GMT – Google and Apple join forces against coronavirus

Tech giants Apple and Google announced they would join forces to develop an app for tracking coronavirus infections using existing Bluetooth and encryption technology.

The app will rely on Bluetooth to determine distances between phone users and encryption to ensure data security, the companies said.

“Privacy, transparency, and consent are of utmost importance in this effort,” the companies said in a statement published on Google’s blog site.

Lockdown extension will deepen South Africa’s economic crisis (02:30)

18:26 GMT – As Spain bans Easter events, Catholics make face masks

Religious associations in the small southwest town of Aznalcazar were already in the thick of preparations when news arrived that Spain’s tens of thousands of traditional Easter processions were likely to be banned for the first time in nearly 90 years, as a result of the coronavirus pandemic.

“We had bought pretty much everything we needed, right down to the cloth for the uniforms for the penitentes” – the hooded and cloaked worshippers in the processions, Lola Diaz Montero, of Aznalcazar’s Brotherhood of Saint James, told Al Jazeera.

Advertisement

“We’d started cancelling Masses for Lent … before the state of alert was declared in the middle of March. Then the news came through that all the processions were going to be stopped too.”

Read more here.

17:55 GMT – Italy to extend lockdown until May 3

Giuseppe Conte, prime minister of hard-hit Italy, said he had taken the “difficult” decision to extend a weeks-long lockdown until May 3.

“We are extending the restrictions until May 3,” he said in an address to the nation. “It is a difficult but necessary decision for which I assume full political responsibility,

Italy’s world-topping coronavirus death toll stood at 18,849 as of Thursday.

Italy and Spain remember their dead (2:37)

17:52 GMT – Spain to hand out masks as people return to work

The Spanish government has announced plans to hand out out masks at metro and train stations on Monday as some companies re-open after a two-week “hibernation” period.

Spain on March 30 had toughened its nationwide lockdown, suspending all non-essential activities until after Easter. The measure particularly targeted the construction and manufacturing sectors.

Health Minister Salvador Illa said the masks will be distributed in metro or interurban train stations “where usage is recommended” and where work will resume after the Easter weekend “on Monday or Tuesday”.

But there would be no further easing of the lockdown, with Illa saying such measures would be enough to avoid “a resurgence of cases”.

17:39 GMT – France reports 987 deaths

France confirmed 987 more COVID-19 deaths registered in hospitals and nursing homes in a day, bringing the total toll to 13,197.

Speaking to reporters, top health official Jerome Salomon said a child aged under 10 infected with COVID-19 died, but the causes of the death were “multiple”.

In encouraging news, Salomon said there were now 62 fewer people in intensive care, continuing a trend first seen on Thursday.

17:06 GMT – Moscow to introduce passes for travel around the city

Moscow’s mayor Sergei Sobyanin said the city would begin to gradually introduce a system of passes next week to monitor and regulate residents’ movements during a partial lockdown aimed at stopping the spread of the coronavirus.

Speaking on a state television channel, Sobyanin said that the passes would be introduced in stages. The first would focus on creating permits for those travelling to work.

A man wearing a protective face mask walks along the street in Moscow
A man wearing a protective face mask walks along the street in Moscow, Russia [Shamil Zhumatov/Reuters]

17:02 GMT – Turkey’s coronavirus death toll rises to 1,006

Turkey’s confirmed cases of coronavirus increased by 4,747 and 98 people died in the last 24 hours, taking the total death toll from the disease to 1,006, Health Minister Fahrettin Koca said.

The total number of recovered cases stood at 2,423, with 281 recoveries in the last 24 hours, and the number of tests carried out in that time was 30,864, Koca said on Twitter.

Turkey’s total confirmed cases stood at 47,029, he added.

16:26 GMT – New York sees first slight drop in intensive care unit patients

New York Governor Andrew Cuomo said the number of coronavirus patients in intensive care units across the state dropped in the last day, offering a glimmer of hope that the surge in critical care hospitalizations might be leveling off.

Advertisement

Cuomo said there were 17 fewer patients in the state’s intensive care units on Thursday than a day prior, a decrease in that figure “for the first time since we started this … journey”, Cuomo said at a news briefing.

“That’s the first time we’ve seen a negative number, so that’s good,” he said.

16:23 GMT – British coronavirus death toll rises to 8,958, up 980

The death toll from coronavirus in the United Kingdom rose by 980 to 8,958 people as of 16:00 GMT on April 9, health minister Matt Hancock said on Friday.

15:50 GMT – Boris Johnson able to do short walks

British Prime Minister Boris Johnson has been able walk short distances as part of the care he is receiving to aid his recovery, his office said.

Johnson came out of intensive care after three nights and is recovering on a hospital ward.

“The prime minister has been able to do short walks, between periods of rest, as part of the care he is receiving,” a Downing Street spokesman said. “He has spoken to his doctors and thanks the whole clinical team for the incredible care he has received.”

Domestic abuse spikes in Mexico amid virus outbreak (02:04)

15:34 GMT – Ireland extends lockdown until May 5

Ireland extended stay-at-home restrictions designed to slow the spread of coronavirus until May 5, Prime Minister Leo Varadkar said.

“The restrictions we introduced two weeks ago were due to expire on Sunday. Today the expert recommendation is to extend them for a further three weeks,” he said in a televised address.

Ireland has shut bars, restaurants and non-essential retail and told people not to travel more than 2km (1.2 miles) from their home or visit friends and family.

Scientists search for effective COVID-19 treatments (02:31)

15:27 GMT – Finland’s emergency supply agency head quits over face masks

Finland’s government said it accepted the resignation of the head of the country’s emergency supply agency, over the multi-million euro purchase of Chinese face masks that proved unsuitable for hospital use.

Prime Minister Sanna Marin earlier said she had lost confidence in the official, Tomi Lounema.

15:00 GMT – Georgia urges Orthodox believers to pray at home

Georgian health officials urged churchgoers to stay at home as the country’s influential Orthodox Church has not discouraged believers from attending liturgies and refuses to use disposable spoons – rather than a shared one – during communions.

Leading health officials said Easter celebrations on April 19 which usually attract huge crowds of believers could be rocket fuel for the coronavirus.

“Let’s pray at home for each other and for our country,” Paata Imnadze, deputy director of Georgia’s National Centre for Disease Control, told a news conference.

Philippines virus lockdown affects supply, sale of crops (02:27)

14:55 GMT – Russia to block ‘fake news’ criticism of coronavirus measures

Russia’s Prosecutor General’s Office said it would start blocking from Friday access to “fake news” social media posts criticising quarantine measures taken by the city of Moscow to curb the new coronavirus.

The prosecutor’s office said that one video in which a man accused authorities of trying to set up a “digital concentration camp” falsely stated that a coup d’etat was under way. Another post falsely described a system of special passes allowing holders to move around the city freely, it said.

“The prosecutor general’s office continues to take measures to restrict access to information resources where fake news about the situation with the new coronavirus are published,” it said, adding that communications watchdog Roskomnadzor had been asked to remove the video.

Advertisement

14:37 GMT – Arsenal to provide free meals to aid coronavirus fight

Arsenal will provide more than 30,000 free meals as well as sanitary and personal hygiene products to vulnerable people in the local community as part of a response plan to the coronavirus pandemic, the Premier League club said.

The north London club also pledged to donate 100,000 pounds ($124,000) to local organisations and a further 50,000 pounds will go towards a COVID-19 Crisis Fund.

“The Arsenal Foundation has joined forces with HIS Church to deliver 15 tonnes of emergency supplies into Islington,” the club said in a statement. “This initiative forms part of our wider community response to COVID-19, which has seen Arsenal in the Community staff volunteer to transport frontline NHS workers.”

Tokyo closes shops, Kyoto keeps tourists away as virus spreads (02:26)

14:17 GMT – France reports 50 COVID-19 cases on board aircraft carrier

Fifty crew members on board France’s sole aircraft carrier, the Charles de Gaulle, have tested positive for the new coronavirus and parts of the ship have been put in lockdown, the armed forces ministry said on Friday.

Read more here.

13:54 GMT – The Arab doctors who died of coronavirus in Italy

The 100th doctor to die on Italy’s front lines as the country struggles to contain the coronavirus epidemic was Samar Sinjab, a 62-year-old Syrian woman who was born in Damascus.

Read more here.

13:30 GMT – England’s coronavirus hospital death toll rises by 866 to 8,114

The coronavirus death toll in English hospitals rose over the past 24 hours by 866 to a total of 8,114, health officials reported.

Those who died were aged between 27 and 100, and 56 of them had no known underlying health condition.

13:25 GMT


Hello, I am Tamila Varshalomidze in Doha, Qatar, taking over the blog from my colleague Joseph Stepansky.


12:55 GMT – Doctor’s Note: Can coronavirus cause permanent damage?

As the number of people infected by COVID-19, the disease caused by the new coronavirus, worldwide soars past the one million mark, we know the vast majority will make a good recovery.

But now, scientists are looking at the long-term health implications of having had coronavirus and whether or not it can lead to permanent damage to the body.

 explains the evidence showing that COVID-19 could cause long-term lung and kidney problems. Read more here

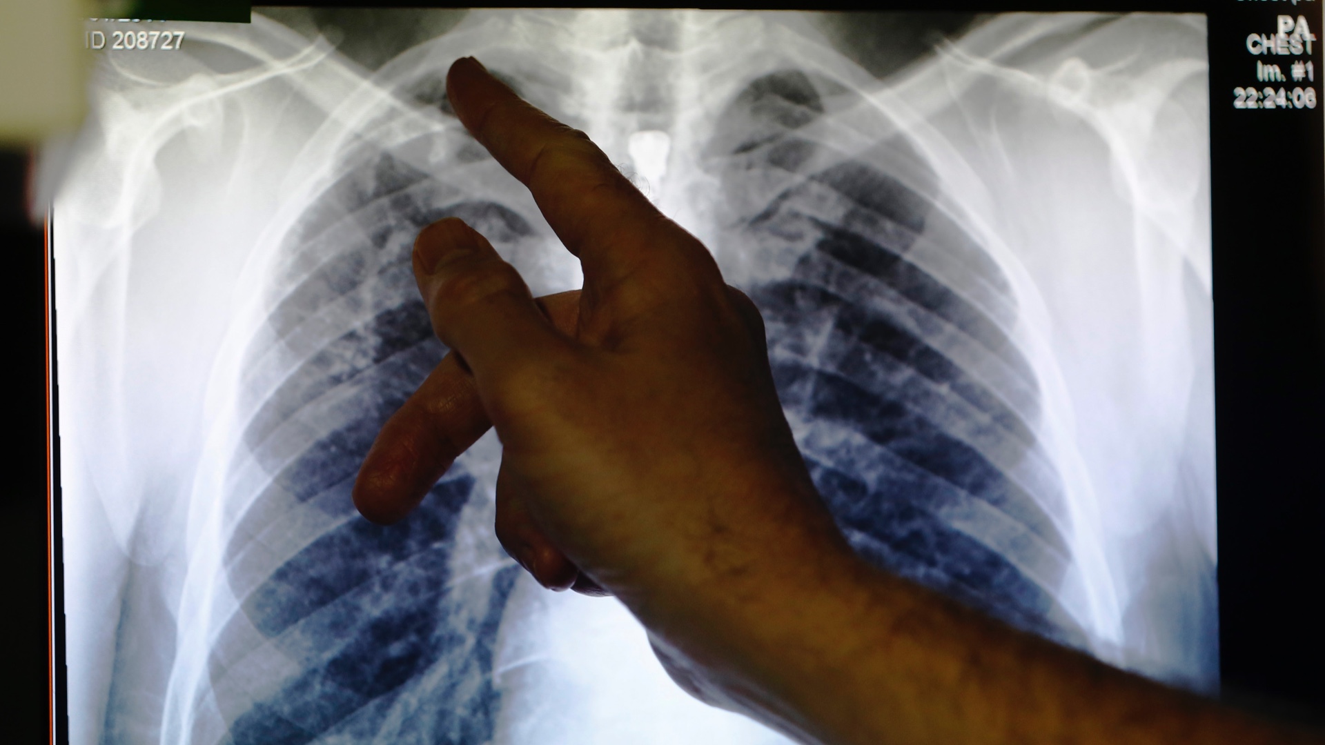
Doctor's note - x ray
A doctor points to an x-ray showing a pair of lungs [File: Reuters]

12:45 GMT – Dutch coronavirus cases rise by 1,335 to 23,097 

The number of confirmed coronavirus cases in the Netherlands has risen 1,335 to 23,097, health authorities said, with 115 new deaths.

The total death toll is now 2,511, the Netherlands’ Institute for Public Health (RIVM) said in its daily update.

12:40 GMT – Brazil: Yanomami indigenous youth dies in Brazil

A Yanomami youth has died after testing positive for coronavirus, health officials have said, raising fears that the epidemic will spread among the largest indigenous tribe in northern Brazil.

Alvanei Xirixan, 15, died on Thursday night in intensive care in the main hospital of Boa Vista, capital of Roraima state, according to the local indigenous health service Dsei attached to the Ministry of Health.

Anthropologists and health experts warn that coronavirus could have a devastating impact on Brazil’s 850,000 indigenous people who are vulnerable to external diseases and whose lifestyle in tribal villages rules out social distancing.

More than 26,000 Yanomami live on Brazil’s border with Venezuela on a reservation the size of Portugal. The Yanomami youth was the third indigenous person to die in the epidemic now sweeping Brazil with force. Two previous deaths were of indigenous people who were living in urban areas, including an 87-year-ol woman in Para state and man in Manaus.

yanomami
A Yanomami youth had died after contracting the coronavirus [Odair Leal/Reuters]

12:30 GMT – Japan infections surpass 6,000 cases

The total number of novel coronavirus infections in Japan has hit 6,003, NHK public broadcaster reported.

Earlier this week, Japan declared a state of emergency to fight the spread of the coronavirus in major population centres. At least 99 people have died in the country from COVID-19.

12:25 GMT – S Korea reports recovered patients testing positive again

South Korean officials have reported 91 patients thought cleared of the new coronavirus had tested positive again. 

Jeong Eun-kyeong, director of the Korea Centers for Disease Control and Prevention (KCDC), told a briefing that the virus may have been “reactivated” rather than the patients being re-infected.

South Korean health officials said it remains unclear what is behind the trend, with epidemiological investigations still under way.

The prospect of people being re-infected with the virus is of international concern, as many countries are hoping that infected populations will develop sufficient immunity to prevent a resurgence of the pandemic.

South Korea
The early voting for the April 15 general elections will be held for two days on April 10-11 at 3,508 polling stations across the country [Lee Jin-man/AP]

12:20 GMT – India’s relief plan may exclude millions: Activists

Tens of millions of Indians stand to see few benefits from a coronavirus relief package worth $22.6bn, economists and food rights activists say.

Although India’s relief package promises free food for roughly 800 million beneficiaries, economists and activists say few of those in need are registered with the federal food welfare scheme, or have the documents needed to secure benefits.

“I would argue for universal [food] coverage of rural areas and urban slums in most states for the duration of the crisis,” said economist Jean Dreze, who has co-authored books on hunger with Nobel laureate Amartya Sen.

Read more here

12:10 GMT – Jordan military arrests TV executives for airing virus complaints

The Jordanian military has arrested the owner of Roya TV and its news director after it aired a news segment showing a crowd of labourers complaining about their inability to work because of the government-imposed coronavirus lockdown.

Roya TV issued a statement on Friday confirming the arrests of its news director, Mohamad al-Khalidi, and Fares Sayegh, the general manager and owner of the television station.

Read more here

Roya TV news director Mohamad al-khaldi, left and General Manager and owner Fares Sayegh
Roya TV news director Mohamad al-khaldi, left ( bold guy) and General Manager and owner Fares Sayegh [Courtesy: Roya TV/Al Jazeera]

12:00 GMT – UK PM Johnson in ‘very good spirits’ after leaving intensive care: Spokesman

British Prime Minister Boris Johnson is in “very good spirits” after returning to a hospital ward from intensive care but his recovery is at an early stage, his spokesman has said. 

“The prime minister is back on a ward and continuing his recovery which is at an early stage. He continues to be in very good spirits,” the spokesman told reporters.

“The PM is just beginning his recovery and he will be taking his advice from his medical team,” the spokesman said when asked when the British leader would return to work. “I was told he was waving his thanks to all of the nurses and doctors that he saw as he was moved from the intensive care unit back to the ward. The hospital said that he was in extremely good spirits last night.” 

UK coronavirus toll jumps as Johnson leaves ICU

11:50 GMT – Trump urges Congress to approve small business funding with no additions

US President Donald Trump has said a funding measure to help small business should be approved by Congress with no additions, as a partisan skirmish in the US Senate cut short a Republican effort to speed the $250 billion in new assistance.

“Democrats are blocking a 251 Billion Dollar funding boost for Small Businesses which will help them keep their employees. It should be for only that reason, with no additions. We should have a big Infrastructure Phase Four with Payroll Tax Cuts & more. Big Economic Bounceback!” Trump said in a Twitter post.

11:45 GMT – Cycling-Riders’ union warns it won’t accept global pay cuts 

The professional riders association has said it would not accept any global pay cut plan for cyclists amid the coronavirus crisis and called for unity across the sport.

The pandemic has hit cycling hard, with events cancelled and teams withdrawing from racing. Elite team Lotto Soudal said its riders had accepted a pay cut as part of its efforts to stay afloat after racing was halted last month.

“We’ll never accept a generalized reduction in salaries. We’ll evaluate each case individually and study how to limit the problems with specific help and strategies,” Laura Mora, secretary of the professional riders association (CPA), said in a statement.

“We’re all in the same boat, in the middle of a storm, and so to save everyone, we’ve got to respect the common principles and really work as a team.”

UK hospital crisis: Treatment for non-COVID-19 patients on hold

11:30 GMT – US health expert Fauci: ‘Now is no time to back off’

The top US infectious disease expert has warned that even though hard-hit spots like New York are showing positive results in the battle against coronavirus, it is too early to relax restrictions on Americans.

“What we’re seeing right now is favorable signs,” Fauci said in an interview on CNN. “We would want to see a clear indication that you were very, very clearly and strongly going in the right direction, because the one thing you don’t want to do is you don’t want to get out there prematurely and then wind up back in the same situation.”

“Now is no time to back off,” he added. 

11:10 GMT – German minister criticises US response as too slow: Report

German Foreign Minister Heiko Maas has criticised the US handling of the coronavirus outbreak as too slow, the latest sign of tensions between the two allies as they respond to the crisis. 

China took “very authoritarian measures, while in the US, the virus was played down for a long time,”  Maas said in an interview with Der Spiegel magazine in a preview sent to the media on Friday.

“These are two extremes, neither of which can be a model for Europe,” he said, adding that he hoped the US would rethink its international relationships in light of the coronavirus crisis. 

“Let’s see to what extent the actions of the American government will lead to discussions in the US about whether the ‘America First’ model really works,” he said.

Coronavirus crisis takes huge toll on Europe’s economy

11:05 GMT – Switzerland death toll passes 800, positive tests top 24,000

The Swiss death toll from coronavirus has reached 805, the country’s public health ministry has said, rising from 756 people on Thursday.

The number of positive tests also increased to 24,308, up from 23,574 on Thursday, it said.

11:00 GMT – China imposes more checks on mask exports to ensure quality control

China has tightened restrictions on exports of masks and other personal protective equipment (PPE), calling for shipments of the items to be subjected to a mandatory customs inspection, with immediate effect.

The new rules mark the latest bid by China to balance the global demand for PPE to help treat the rising number of cases of the new coronavirus, while ensuring that manufacturers and sellers do not flood the market with uncertified or shoddy products.

The regulations follow highly publicised complaints from some governments and hospitals that they received PPE from China that they considered faulty.

Coronavirus fallout: EU leaders back $1 trillion economic deal

10:55 GMT – Some African countries could hit peak in weeks: WHO

Some African countries could see a peak in coronavirus cases in the coming weeks, and testing should be urgently increased in the region, the World Health Organization (WHO) said.

“During the last four days, we can see that the numbers have already doubled,” Michel Yao, the WHO Africa programme manager for emergency response, told a media teleconference on Thursday.

“If the trend continues, and also learning from what happened in China and in Europe, some countries may face a huge peak very soon,” he said, adding it could arrive in the coming weeks but without naming countries.

The number of cases recorded of the novel coronavirus in Africa have been relatively low so far – with nearly 11,000 cases and 562 deaths.

Read more here

10:45 GMT – French army reports 50 cases aboard aircraft carrier

Fifty crew members aboard France’s flagship aircraft carrier the Charles de Gaulle have tested positive for the new coronavirus, the armed forces ministry said on Friday.

In a statement, it added that three sailors had been preventively evacuated by air to a military hospital in Toulon, southern France, home port of the carrier.

10:30 GMT – Air Zimbabwe to put workers on unpaid leave

Zimbabwe’s state-owned airline will put workers on indefinite unpaid leave after revenue dried up with the new coronavirus outbreak virtually grounding global air travel, according to an internal notice to employees seen by Reuters news agency.

With $300 million of debt, Air Zimbabwe was already facing financial trouble before the outbreak of the virus. The perennially loss-making national carrier said it would retain skeleton staff for adhoc operations and airworthiness compliance, adding that wages remained its biggest cost. Employees would, however, receive their April salaries.

Air Zimbabwe spokesman Firstme Vitori confirmed the airline was putting workers on indefinite leave because there was no money to “fund financial obligations, including staff salaries”.

City health workers spray disinfectant at a bus terminus during a 21 day nationwide lockdown to limit the spread of coronavirus disease (COVID-19) in Harare
City health workers spray disinfectant at a bus terminus during a 21 day nationwide lockdown to limit the spread of coronavirus in Harare, Zimbabwe [Philimon Bulawayo/Reuters]

10:10 GMT – Iran’s death toll from coronavirus outbreak rises to 4,232

Iran’s total death toll from the new coronavirus outbreak has risen to 4,232 with 122 new dead in the past 24 hours, according to a health ministry spokesman.

The total number of people diagnosed with the disease increased by 1,972 in the past 24 hours to a total of 68,192, the spokesman, Kianoush Jahanpur, said on state TV, adding that 3,969 people were in critical condition.

Iran is the country most affected by the pandemic in the Middle East.

09:40 GMT – Spain reports 605 new deaths, 4,576 new cases

Spain has reported 605 new coronavirus deaths, continuing a downward trend, and 4,566 new cases. 

The death toll in the European country with the most reported cases now stands at 15,843 with a total of 157,022

Spain church coronavirus
Pictures of the faithful of the Nuestra Senora de la Paz church, placed on the church’s benches, as priest Raul Garcia officiates a Holy Week mass [Nacho Doce/Reuters]

09:30 GMT – Ireland set to lift lockdown step-by-step when restrictions ease

Ireland will potentially ease stay-at-home restrictions and allow some shops to reopen in the coming weeks as part of a step-by-step scaling back of the country’s coronavirus lockdown, a senior health official has said.

Irish Health Minister, Simon Harris, has said he expects to be advised on Friday to keep the current restrictions in place for “a period of weeks” after citizens were ordered late last month to stay home until at least Sunday.

Prior to that, Ireland had banned all non-essential travel within the country and shut clubs, gyms, and hairdressers. Other retailers like DIY stores were allowed to remain open and people could travel beyond the current 2-km radius limit from their house and visit family, once they maintained social distancing.

09:10 GMT – Malaysia extends movement curbs until April 28

Malaysia has extended movement and travel restrictions that have been put in place to contain a coronavirus outbreak for two more weeks, until April 28.

The curbs, first imposed on March 18, were originally set to end on April 14. Malaysia has the highest number of coronavirus infections in Southeast Asia with more than 4,200 reported, including 118 new cases on Friday.

“It may take a few months before we can say we are free of the virus,” Prime Minister Muhyiddin Yassin said in a televised address.

Medical workers in protective suits entering a building under lockdown in downtown Kuala Lumpur, Malaysia, on Tuesday, April 7, 2020. The Malaysian government issued a restricted movement order to the
Medical workers in protective suits entering a building under lockdown in downtown Kuala Lumpur, Malaysia [Vincent Thian/The Associated Press]

09:05 GMT – Indonesia reports 219 new cases, bringing total to 3,512

Indonesia reported 219 new coronavirus cases and 26 new deaths, a health ministry official Achmad Yurianto has told reporters.

This brings the total number of cases and deaths to 3,512 and 306, respectively.

08:55 GMT – Kazakhstan to extend state of emergency to end of April

Kazakhstan will extend the state of emergency declared over the coronavirus outbreak until the end of April, Interfax news agency has reported, citing parliamentary deputy Vladimir Bozhko who is on its emergency commission.

The state of emergency, which has allowed the government to lock down all provinces and major cities and shut down many businesses, was originally due to end on April 15. 

A worker wearing a protective face mask carries meat at a local food market in Almaty
A worker wearing a protective face mask carries meat at a local food market, also known as bazaar, in Almaty, Kazakhstan in March [Pavel Mikheyev/Reuters]

08:45 GMT – Italy closed its ports to NGOs, but boats keep on arriving

An order signed on Tuesday by several Italian ministers established that, for the duration of the national health emergency sparked by coronavirus, domestic ports could no longer be considered a “place of safety”.

Even though international rescue vessels are kept offshore by this new measure, small ships setting sail from Libya and Tunisia have continued to arrive on the Italian coastline.

“We cannot stop migrants: if they set sail, it means that they have to dock somewhere,” Salvatore Martello, mayor of the island of Lampedusa, told Al Jazeera

Read more here

Lampedusa boat - reuters
The Italian coast guard patrols the waters of Lampedusa, Italy [File: Mauro Buccarello/Reuters]

08:35 GMT – Hungary’s ‘ real test’ yet to come, PM warns

Hungary’s restrictive steps have managed to slow the spread of coronavirus but the “real test” is yet to come, Prime Minister Viktor Orban has said as the government reported the single biggest daily increase in infections.

Orban said that at the peak of the crisis, Hungary would need about 8,000 ventilators and intensive-care hospital beds, of which around 2,000 would be available in “normal times”.

08:25 GMT – Number of dead buried in NYC mass grave increases

The number of bodies buried daily at a mass grave in New York City, where the unclaimed bodies from the city are buried, has increased during the coronavirus pandemic, according to authorities. 

Before the outbreak, about 25 bodies were buried at the site on Hart Island a week, according to authorities. That number has been increasing since March, officials said. Currently, about about two dozen bodies buried in the grave every day, five days a week, according to a spokesman for the New York City Department of Corrections, which oversees the burials. 

Dozens buried in New York mass grave as coronavirus deaths surge

08:20 GMT – Philippines records 18 more deaths, 119 new cases

The Philippines’ health ministry has reported 18 more coronavirus deaths and 119 new infections.

The death toll in the Southeast Asian country has reached 221, while confirmed cases totalled 4,195.

Sixteen more patients have recovered, bringing total recoveries to 140, the ministry said in a bulletin.

08:05 GMT – Vietnam in talks to borrow $1 bn as budget deficit seen widening

Vietnam plans to borrow $1 bn from foreign lenders this year, the Ministry of Finance has, adding that the country’s budget deficit is seen widening this year due to the coronavirus outbreak.

“The Finance Ministry is negotiating with potential lenders (IMF, WB and ADB),” the ministry said in a statement posted on its website, referring to the International Monetary Fund, the World Bank and the Asian Development Bank. It did not give further details.

It said Vietnam’s budget deficit is expected to widen by 1.5-1.6 percentage point to 5%-5.1% of gross domestic product due to the impact of the coronavirus. The country will lose 140-150 trillion dong ($5.94 to $6.37 bn) in state budget revenue this year, if the virus pandemic is contained within the second quarter, it added.

Coronavirus - Vietnam
A tourist wearing a protective face mask amid fears of the spread of the coronavirus rides on a cyclo in Hanoi in February [Manan Vatsyayana/AFP]

07:50 GMT – Russia reports new record daily rise of cases

Russia has reported 1,786 more coronavirus cases, its largest daily rise so far, which took the national tally of confirmed infections to 11,917.

The number of coronavirus-related deaths rose by 18 to 94, the Russian coronavirus crisis response center said in a statement.

07:35 GMT – Singapore stops Zoom for online education as hackers strike

Singapore has suspended the use of Zoom for online education after hackers hijacked a lesson and showed obscene images to students.

In what is known as “Zoombombing,” two hackers interrupted a geography lesson a day after Singapore closed schools on Wednesday in partial lockdown measures to help curb local transmissions of the coronavirus. Lessons have moved online, with some teachers using video conferencing tools like Zoom.

Singapore’s Ministry of Education said it was investigating the “serious incidents” and may file police reports. 

“We are already working with Zoom to enhance its security settings and make these security measures clear and easy to follow,” said Aaron Loh, director of the ministry’s Educational Technology Division. “As a precautionary measure, our teachers will suspend their use of Zoom until these security issues are ironed out.”

Singapore workers
Workers pass a row of pairs of jeans hung to dry at Punggol S-11 workers’ dormitory, which was gazetted to be an isolation facility after it became a cluster of coronavirus cases in Singapore [Edgar Su/Reuters]

07:15 GMT – Poland may reach peak of infections in coming days: Gov’t

Poland may see the peak of infections from the coronavirus in the coming days, government spokesman Piotr Muller has said.

“It seems that if we will maintain our discipline, there is a chance that this infection rise may reach its maximum in coming days, to gradually slow down later,” Muller told public broadcaster TVP Info. 

Earlier, Prime Minister Mateusz Morawiecki said Poland may see a peak of infections in May or June. 

Poland reported 5,575 confirmed cases of coronavirus and 174 deaths as of Thursday.

07:05 GMT – East Timor reports second case

East Timor has confirmed another case of coronavirus, health authorities said, bringing the total number of cases to two. 

The infected person had travelled from Indonesia’s West Timor region, Integrated Crisis Management Center spokesman, Sergio Lobo, told a news conference. The tiny Southeast Asian nation with a population of less than 1.3 million reported its first case on March 21. That patient has now recovered, Lobo said.

07:00 GMT – Pakistan gov’t begins distributing cash grants to low-income families

Pakistan’s government has begun distributing Rs144 bn ($863 million) in cash grants to low-income families across the country, with lines forming outside roughly 17,000 distribution centres designated for the purpose. 

In the first phase, roughly $300 million was disbursed to banks by the federal government to be distributed in the form of Rs12,000 ($70) grants to low-income families who have been affected by a countrywide lockdown put in place this month to stop the spread of the coronavirus. 

On Friday, Pakistan’s number of active coronavirus cases rose to 3,815, with at least 67 people having died and another 712 recovered since the country’s outbreak began in late February, according to government data. Pakistan appears to have slowed the spread of the virus through lockdown measures, shutting down all but essential businesses across the country, but the resulting economic slowdown is feared to be hitting working class families disproportionately. 

Last month, Prime Minister Imran Khan announced a $5.9 billion stimulus package – including the cash grant scheme – to mitigate the effects of the lockdown.

A health worker takes the temperature of a man who returned from Iran and is under medical observation, after Pakistan sealed its border with Iran as a preventive measure following the coronavirus out
A health worker takes the temperature of a man who returned from Iran and is under medical observation at the border post in Taftan, Pakistan in February [Naseer Ahmed/Reuters]

06:45 GMT – IMF approves $147 mn for Gabon

The International Monetary Fund’s (IMF) Executive Board has approved a disbursement of $147 million under its Rapid Financing Instrument to help Gabon confront the impact of the COVID-19 pandemic, the Fund said in a statement.

“In the short term, a temporary widening of the budget deficit is warranted to contain the virus outbreak and offset the social and economic impact of the pandemic,” IMF Deputy Managing Director Mitsuhiro Furusawa said.

Is it too early to lift the lockdown on Wuhan?

06:40 GMT – China says its trade faces unprecedented challenges

China’s foreign trade faces unprecedented challenges due to the coronavirus epidemic that has spread to more than 200 countries, China’s assistant commerce minister said on Friday, amid growing fears of a deep global recession triggered by the virus.

Ren Hongbin told reporters during a briefing that a survey conducted by the ministry shows that trade firms across the board face difficulties from order cancellations or delays, and that new orders are also at risk.

06:30 GMT – Hungary reports biggest daily rise in cases

Hungary’s confirmed coronavirus cases have increased by 210 to 1,190, the single largest daily increase since the outbreak of the virus, government data shows. 

Prime Minister Viktor Orban’s government prolonged a nationwide lockdown indefinitely on Thursday to slow the spread of the coronavirus, asking citizens to observe the order despite the Easter holiday.

The crisis has presented Orban with the toughest challenge to his decade-long rule. His response – to rule by decree indefinitely – has drawn criticism from the European Union. At least 77 people have died so far, according to the government.

Virus restrictions prevent aid delivery

06:20 GMT – Taiwan reports 6th death, 382 cases

A sixth person infected with the coronavirus has died in Taiwan, Health Minister Chen Shih-chung has said.

The island also recorded two new infections, bringing the total to 382 cases, he told a news conference. 

06:00 GMT – UN chief warns COVID-19 threatens global peace and security

Secretary-General Antonio Guterres warned the UN Security Council on Thursday that the coronavirus pandemic is threatening international peace and security – “potentially leading to an increase in social unrest and violence that would greatly undermine our ability to fight the disease”.

He urged the UN’s most powerful body, which has been silent on COVID-19 since it started circling the globe sickening and killing tens of thousands, to unite on tackling the virus, saying its engagement will be “critical to mitigate the peace and security implications of the COVID-19 pandemic” and “would count for a lot at this anxious time”.

Read more here

António Guterres
Antonio Guterres has urged the UN Security Council to unite to tackle the coronavirus pandemic [Daylife]

05:45 GMT – Helicopters, fines in Australia’s Easter travel crackdown

Australia will deploy helicopters, set up police checkpoints and hand out hefty fines to deter people from breaking an Easter travel ban, officials have warned, in their toughest crackdown against the coronavirus, even as its spread slows.

More than half of Australians identify themselves as Christians, with many in past years attending church services or going on trips to visit family and friends during Easter public holidays that run until Monday.

But with places of worship closed, bans on public gatherings larger than two and non-essential travel limited to combat the spread of the virus, Australians were told to stay home this year or face dire consequences.

Police have said they will block roads and use number plate recognition technology to catch those infringing the bans. Fines for breaking social distancing rules start at $620, but vary between states.

China: Truth In A Pandemic | 101 East

05:35 GMT – Yemen confirms first case

 Yemen has reported its first coronavirus case in Hadhramaut Governorate, supreme national emergency committee tweeted early on Friday.

The committee added that the patient was stable and receiving health care, without elaborating.

Read more here.

05:20 GMT – Thailand reports 50 new coronavirus cases, 1 new death

Thailand has reported 50 new coronavirus cases and the new death of a 43-year-old woman.

Of the new cases, 27 are linked to previous cases and eight who are waiting for investigation into how they caught the disease, said Taweesin Wisanuyothin, a spokesman of the government’s Center for COVID-19 Situation AdministrationThree of the new cases were imported, Wisanuyothin said.

Since the outbreak escalated in January, Thailand has reported a total of 2,473 cases and 33 fatalities, while 1,013 patients have recovered and gone home.


Hello, this is Joseph Stepansky in Doha taking over from my colleague Ted Regencia.


05:14 GMT – US CDC extends ‘No Sail Order’ for all cruise ships

The United States Centers for Disease Control and Prevention (CDC) has announced the extension of a ‘No Sail Order’ for all cruise ships amid the coronavirus pandemic.

According to the CDC, the order will only be lifted after the expiration of the US Secretary of Health and Human Services’ declaration that COVID-19 constitutes a public health emergency, the CDC Director rescinds or modifies the order based on specific public health or other considerations, or third, 100 days from the date of publication in the Federal Register.

According to the statement, there are approximately 100 cruise ships remaining at sea off the East Coast, West Coast, and Gulf Coast of the United States, with nearly 80,000 crew onboard.

04:58 GMT – South Korea reports 27 new cases 

South Korea has reported 27 new cases of the coronavirus, marking its ninth consecutive day below 100, as infections continue to wane in the worst-hit city of Daegu.

Figures released by South Korea’s Centers for Disease Control and Prevention on Friday brought nationwide totals to 10,450 cases and 208 virus-related deaths, the Associated Press reported.

While the country’s caseload has slowed from early March, when it was reporting around 500 new cases per day, KCDC director Jeong Eun-kyeong has raised the possibility of a broader “quiet spread,” pointing to recent transmissions at bars and other leisure facilities that could indicate eased attitudes toward social distancing.

04:25 GMT – 16.8 million Americans lost jobs in three weeks 

New York
The US unemployment rate in April could hit 15 percent – a number not seen since the end of the Great Depression [Mark Lennihan/AP]

A staggering 16.8 million Americans have lost their jobs in just three weeks, a measure of how fast the coronavirus has brought world economies to their knees.

Numbers released on Thursday by the US government showed that 6.6 million workers applied for unemployment benefits last week, on top of more than 10 million in the two weeks before that. That amounts to about 1 in 10 American workers – the biggest, fastest pileup of job losses since the world’s largest economy began keeping records in 1948.

And still more job cuts are expected. The US unemployment rate in April could hit 15 percent – a number not seen since the end of the Great Depression.

03:55 GMT – Malaysia’s top medical glove manufacturer to start producing face masks 

Top Glove Corporation Bhd, the world’s biggest maker of medical gloves, plans to start producing face masks to meet rising demand from the coronavirus outbreak, a top executive told Reuters news agency.

The Malaysian company, which makes one out of every five gloves in the world, will have a facility ready in two months with a production capacity of 110 million masks a year.

“The masks … will also be available for sale to our existing healthcare customers, in order to help the market cope with the surge in demand on the back of the COVID-19 pandemic,” said Executive Chairman Lim Wee Chai.

03:40 GMT – More than 100 Italian doctors die due to coronavirus

One hundred Italian doctors have died after contracting coronavirus since the pandemic reached the Mediterranean country in February, Italy’s FNOMCeO health association said on Thursday.

“The number of doctors who have died because of COVID-19 is 100 – perhaps even 101 at the moment, unfortunately,” a spokesman for the association told AFP.

Read the full story here

03:25 GMT – Filipino Catholic devotees defy lockdown orders

Flaggellation
A masked Filipino penitent kneels while performing self-flagellation outside a closed church on Good Friday, defying the government’s orders to stay indoors due to the threats of the coronavirus disease in Manila [Eloisa Lopez/Reuters]

02:45 GMT – Mexico reports deaths of two pregnant women

Mexico has recorded its first two deaths of pregnant women from the coronavirus as the overall number of fatalities in the country reached 194, according to the country’s health ministry.

One of the two women gave birth to a son before passing away, Deputy Health Minister Dr Hugo Lopez Gatell told a news conference, noting that pregnant women are highly susceptible to infection caused by the virus. For a short time the baby boy had respiratory problems and is still delicate, he added.

Adding to their risk factors for developing complications from the coronavirus, both women were clinically obese, while one had hypertension and the other had diabetes, Lopez Gatell was quoted by Reuters news agency as saying.

01:33 GMT – South Korea infected patients cast ballot in parliamentary polls

Early voting in South Korea’s parliamentary election has kicked off, with coronavirus patients casting ballots at designated stations and candidates adopting new ways of campaigning to limit the risk of contagion.

The National Election Commission (NEC) set up eight polling stations to be used by more than 3,000 coronavirus patients receiving treatment as well as 900 medical staff at treatment centres in hard-hit areas, including the capital Seoul and Daegu city, according to Reuters news agency.

The election itself is on April 15, but officials are hoping that people will take advantage of early voting options to reduce the number of voters crowding polling locations on that day.

South Korea
The early voting for the April 15 general elections will be held for two days on April 10-11 at 3,508 polling stations across the country [Lee Jin-man/AP]

01:11 GMT – Chicago prison reports 450 cases

Some 450 inmates and staff have tested positive for coronavirus in the US city of Chicago’s largest jail, county corrections officials said, representing one of the nation’s largest outbreaks of the respiratory illness at a single site so far in the pandemic.

The surge of cases at Cook County Jail marks the latest flare-up of COVID-19 at jails and prisons in large cities across the US, where detainees often live in close quarters.

00:50 GMT – China-Taiwan word war erupts over WHO’s handling of outbreak

China has accused Taiwan of “venomously” attacking the World Health Organization (WHO) and conniving with internet users to spread racist comments, after the agency’s chief said racist slurs against him had come from the island.

Taiwan, claimed by China as its sacred territory, has responded angrily to WHO Director-General Tedros Adhanom Ghebreyesus’ assertion that “racist slurs” against him had originated in Taiwan, and demanded he apologise saying the accusations are nonsense.

Taiwan’s exclusion from the WHO, due to China’s objections, has infuriated the Taipei government during the coronavirus outbreak.

00:10 GMT – China reports 42 new cases

China has reported 42 new cases, 38 of them imported, along with one additional death in the hardest-hit city of Wuhan.

Another 1,169 suspected cases or those who tested positive but were not showing symptoms, were being monitored under isolation. China now has reported a total of 81,907 cases and 3,336 deaths from the virus. More than 77,000 of those who were infected have recovered.

Migrants - Malta
Rescued migrants wait in line after disembarking a military vessel which arrived in Senglea in Valletta’s Grand Harbour early on Friday, after an outbreak of the coronavirus disease in Malta [Darrin Zammit Lupi/Reuters]

00:05 GMT – California reports dip in ICU admissions

California saw its first daily decrease in intensive care hospitalisations during the coronavirus outbreak, a key indicator of how many healthcare workers and medical supplies the state needs, Governor Gavin Newsom said on Thursday.

The rate of all virus hospitalisations has slowed this week. Those in the ICU need the highest level of care, and so it was particularly encouraging that the number of patients in those rooms actually dropped 1.9 percent on Wednesday to 1,132, The Associated Press news agency reported.

I’m Ted Regencia in Kuala Lumpur with Al Jazeera’s continuing coverage of the coronavirus pandemic. 

Read all the updates from yesterday (April 9) here.


Advertisement